Nội soi cắt tách dưới niêm mạc (ESD): Giải pháp điều trị polyp tái phát trên nền sẹo, tránh phẫu thuật cắt nối ruột
Trong điều trị polyp đại tràng, đặc biệt là những tổn thương phức tạp có nguy cơ ác tính, việc lựa chọn đúng phương pháp ngay từ đầu là yếu tố then chốt giúp tránh nguy cơ tái phát, biến chứng hoặc phải phẫu thuật cắt nối ruột về sau.

Tại Bệnh viện Nhân dân Gia Định, các bác sĩ Khoa Nội soi – Thăm dò Chức năng đã ứng dụng kỹ thuật nội soi cắt tách dưới niêm mạc (ESD) – một phương pháp nội soi chuyên sâu để điều trị thành công hai trường hợp polyp phức tạp tái phát trên nền mô sẹo. Nhờ can thiệp kịp thời và chính xác, người bệnh không phải trải qua cuộc phẫu thuật lớn, đồng thời giữ được toàn vẹn chức năng tiêu hóa.
Hai trường hợp điển hình đã điều trị tại Bệnh viện Nhân dân Gia Định:
1. Polyp đại tràng chậu hông tái phát trên nền sẹo sau hơn 2 năm can thiệp
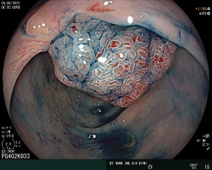
Người bệnh N.V.T, 45 tuổi, được nội soi kiểm tra sau hơn 2 năm kể từ lần can thiệp polyp trước đó tại đại tràng chậu hông. Nội soi ghi nhận tổn thương dạng polyp không cuống, một số vùng có cấu trúc mạch máu bề mặt không đều, kích thước 20 mm trên nền sẹo cắt polyp. CT scan bụng chậu: Tổn thương dạng polyp ở đại tràng chậu hông, kích thước 17 x 20 mm, nếu là K thì giai đoạn T2-3N0Mx. Tình trạng xơ hóa dưới niêm mạc có thể ảnh hưởng đến đánh giá chính xác mức độ xâm lấn sâu của tổn thương. Do vậy, các bác sĩ đã thực hiện kỹ thuật ESD lấy trọn tổn thương, không cần phẫu thuật. Kết quả mô học: U tuyến ống nghịch sản độ cao, bờ diện cắt không tế bào u.



2. Polyp trực tràng tái phát sớm trên nền sẹo sau cắt carcinôm tuyến dạng nhầy
Người bệnh N.V.C, 51 tuổi, vừa được nội soi cắt polyp carcinôm tuyến dạng nhầy (Haggit độ 4) cách đây 6 tuần. Qua nội soi phát hiện ở trực tràng có tổn thương polyp dạng 0-IIa, một số vùng có cấu trúc mạch máu bề mặt không đều, kích thước 10 mm trên nền sẹo gây co kéo các nếp niêm mạc xung quanh, dẫn đến khó lấy trọn tổn thương bằng các phương pháp cắt truyền thống. Chúng tôi chọn kỹ thuật ESD và lấy trọn tổn thương thành công. Mô học: U tuyến ống nghịch sản độ cao, bờ diện cắt không tế bào u.



Lấy trọn polyp ngay lần đầu – Giảm tối đa nguy cơ tái phát
Trong thực hành lâm sàng, nếu polyp không được cắt triệt để ngay từ lần đầu tiên, nguy cơ tái phát là rất cao. Các tổn thương mọc lại thường phát triển trên nền mô sẹo xơ hóa – điều này khiến việc xử lý trở nên phức tạp và dễ gây biến chứng hơn. Vì thế, với những polyp có kích thước lớn, hình dạng bất thường hoặc nằm ở vị trí khó, việc lựa chọn phương pháp cắt tối ưu ngay từ đầu – như ESD – là điều hết sức cần thiết.
Polyp tái phát trên nền sẹo – Thách thức lớn, dễ phải mổ
Tổn thương tái phát sau can thiệp cũ thường đi kèm tình trạng xơ dính mạnh. Quá trình bóc tách trở nên khó khăn, nguy cơ thủng ruột tăng cao nếu không được xử lý đúng kỹ thuật. Trong một số trường hợp, bệnh nhân có thể buộc phải phẫu thuật cắt nối ruột – một cuộc mổ lớn ảnh hưởng đáng kể đến sức khỏe và chất lượng sống.
ESD – Giải pháp tối ưu, tránh phẫu thuật, bảo toàn ruột
Kỹ thuật ESD cho phép bác sĩ bóc tách chính xác lớp dưới niêm mạc, lấy trọn tổn thương kể cả khi có xơ hóa hoặc đã từng can thiệp trước. Dù đây là thủ thuật khó, đòi hỏi tay nghề cao và kinh nghiệm, nhưng ESD mang lại hiệu quả vượt trội trong bảo tồn chức năng ruột, rút ngắn thời gian hồi phục và tránh được phẫu thuật cho người bệnh.
Trong điều trị polyp đại tràng, việc can thiệp đúng ngay từ đầu có ý nghĩa quyết định trong việc hạn chế tái phát và ngăn ngừa các biến chứng nguy hiểm. Đặc biệt, với những tổn thương tái phát trên nền mô sẹo – vốn tiềm ẩn nhiều rủi ro – cần được đánh giá cẩn trọng và xử trí bởi các bác sĩ có chuyên môn sâu nhằm tránh phải can thiệp bằng phẫu thuật cắt nối ruột.
Kỹ thuật nội soi cắt tách dưới niêm mạc (ESD) đã chứng minh là giải pháp tối ưu trong những trường hợp phức tạp này. Không chỉ giúp loại bỏ triệt để tổn thương, ESD còn mang lại lợi ích vượt trội trong việc bảo tồn ruột, tránh phẫu thuật và nâng cao chất lượng sống cho người bệnh về lâu dài.
